
佐賀県佐賀市鍋島町の「池田デンタルクリニック」は、主に歯周病を専門に研究している歯科です。
つらくて長い時間がかかっていた歯周病の治療も、技術の進歩により安価に早く治せる様になってきています。
飲み薬やプロバイオティクス、ライトタッチレーザー、位相差顕微鏡検査を用いる歯周内科治療で、痛みの少ない・楽に治る歯周病治療をめざしています。
連絡先
〒840-0857
佐賀県佐賀市鍋島町八戸1344-5
TEL:0952-23-6203
月・火・木・金 9:00~18:30
水 9:00~12:30
土 9:00~18:00
池田デンタルクリニック 院長プロフィール

■1973年生まれ
■九州歯科大学卒
患者さんを診察する時は、
「一生涯、綺麗な自分の歯で充実した生活を送っていただくにはどうしたらいいか?そしてその方法は?」
「この子の歯の生え替わりが終わった時、虫歯の(治療痕も)無い状態にするには?正しい顎の成長を誘導することで、健康で賢い子に育ってくれれば」
といったような事をいつも考えています。
結婚し、子供が増え、両親が年老いていく、そういう人生経験を通して患者さんへの気持ちも変化したように思います。
自分の家族に接する時と同じような気持ちで、丁寧な治療・指導を患者さんにも提供しています。
もちろん、理想の診療を現実にするためには“力”が必要です。本を読み漁り、トレーニングに励む毎日です。
医院案内

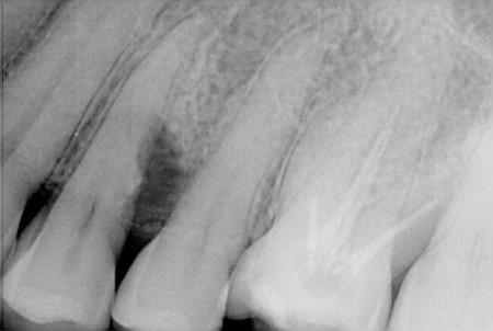
歯周病治療では検査がとても重要です。

レントゲンで歯を支えている骨(歯槽骨)の状態を調べます。
主に、今現在「口の中のどの場所でどれぐらい歯周病が進行しているか」を診断します。
診療時間・アクセス
診療時間
月・火・木・金 9:00~18:30
水 9:00~12:30
土 9:00~18:00
地図
長崎本線 鍋島駅より徒歩15分
新栄小学校・マリトピア交差点から西へ約200m
